
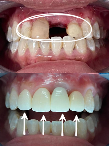
Dental Implants
A modern, long-term solution for missing teeth. Implants can replace one tooth, several teeth, or a full set. They’re secure, natural-looking, and—when cared for properly—can last a lifetime.
Why Implants?
Dental implants are a durable, natural-looking solution for replacing missing teeth, offering benefits like long-term stability, improved chewing and speaking, and preservation of jawbone health. Unlike dentures or bridges, they don’t slip, require minimal maintenance, and don’t harm adjacent teeth. While they’re costly upfront and require sufficient bone and good health, their high success rate and ability to last a lifetime make them a worthwhile investment for many.
What is the Procedure?

Consultation & Treatment Planning

Implant Placement Surgery

Impression Taking

Crown Issue
.png)
.png)







